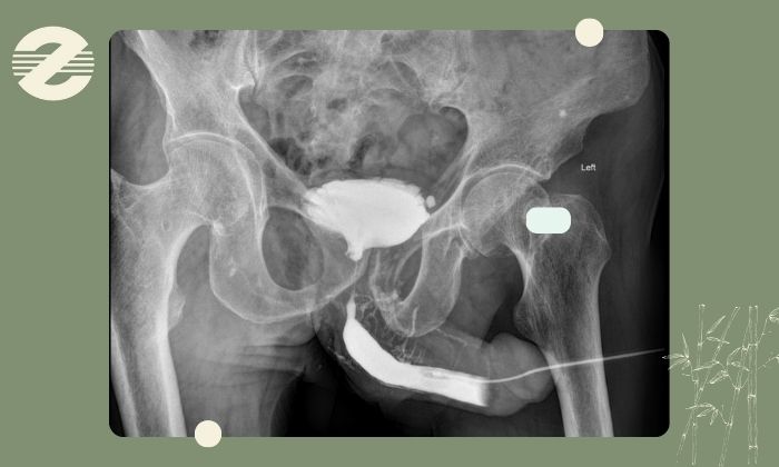
رتروگرید (RUG) چیست؟
-چیست؟69204369f66066960116e436.jpeg)
این تست بهدلیل دقت بالا و توانایی نشاندادن جزئیات ریز مجرا، یکی از بهترین انتخابها برای تشخیص مشکلات مجرای ادراری محسوب میشود.
-چیست-و-چرا-انجام-می-شود؟6920431ef66066960116e3f6.jpeg)
-چیست؟69204369f66066960116e436.jpeg)



خیر؛ این روش فقط مسیر مجرای ادرار را بررسی میکند و هیچ تأثیری بر عملکرد جنسی یا باروری ندارد.
خیر؛ معمولاً میتوانید بلافاصله بعد از پایان کار به خانه بروید و فعالیتهای معمول را از سر بگیرید، مگر پزشک دستور متفاوتی صادر کند.
در بسیاری از موارد بله؛ چون RUG تصویربرداری خارجی است و مجرا را بهطور کامل نشان میدهد و ممکن است پزشک با دیدن نتایج بهطور دقیق تصمیم بگیرد که نیازی به سیستوسکوپی نباشد.
